تبخال دستگاه تناسلی یک عفونت شایع جنسی (STI) می باشد که می تواند موجب ایجاد تاول هایی بر روی پوست دستگاه تناسلی یک فرد آلوده (واژن ، آلت تناسلی یا بیضه) یا مقعد شود.
تبخال دستگاه تناسلی در اثر ویروس هرپس سیمپلکس (HSV) ایجاد می شود (همان ویروسی که باعث ایجاد زخم سرما در دهان می شود).
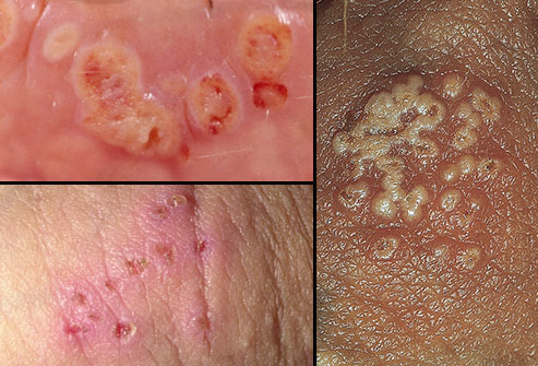
علائم آن مانند زخم های در دهان و در پوست دستگاه تناسلی ظاهر می شود.
تبخال دستگاه تناسلی باعث ایجاد سرطان نمی شود و بر احتمال بارداری خانم ها تأثیر نمی گذارد.
علائم و نشانه های بیماری تبخال تناسلی
تبخال دستگاه تناسلی به روش های مختلفی می تواند در افراد تأثیر بگذارد.
بیشتر افراد ممکن است هیچ علامتی دریافت نکنند، بنابراین از وجود ویروس در بدن خود آگاهی ندارند.
این بدان معنی است که فرد می تواند ویروس را به شریک زندگی خود منتقل کند بدون اینکه آن را بدانید.
اما اگر علائم بروز کنند، ممکن است شامل موارد زیر باشد:
- تاول ها و زخم های دردناک روی دستگاه تناسلی
- قبل از ظاهر شدن تاول ها، احساس سوزن شدن یا درد در ناحیه تناسلی.
علائم تبخال تناسلی معمولاً در هر زمان از چند روز تا چند هفته پس از تماس با ویروس HSV ظاهر می شود.
امل بعضی اوقات ممکن است ماه ها یا سال ها بعد ظاهر شوند.

اولین بار که علائم تبخال دستگاه تناسلی را مشاهده می شود، ممکن است احساس ابتلا به آنفولانزا (تب ، سردرد ، عضلات درد) در فرد وجود داشته باشد. گاهی ممکن است در باسن یا پاها درد احساس شود.
اگر درمانی صورت نگیرد این علائم می تواند تا چند هفته ادامه یابد.
اگر یک بار علائم تبخال دستگاه تناسلی مشاهده شود، احتمالاً دوباره ظاهر خواهند شد.
شیوع این ویروس اغلب خفیف است، با چند تاول یا زخم خود را نشان می دهد و معمولاً طی یک هفته بهبود می یابد.
میزان شیوع تبخال دستگاه تناسلی چقدر است؟
این بیماری از طریق تماس جنسی با شخصی که مبتلا به HSV است، می توانید به راحتی انتقال پبدا کند.
این تماس شامل، تماس پوستی با پوست دستگاه تناسلی یا مقعد، یا داشتن رابطه جنسی واژن، مقعد یا دهان است.
ویروس تبخال تناسلی حتی اگر شخص علائمی نیز نداشته باشد نیز می تواند به فرد دیگر منتقل شود.
برای جلوگیری از انتشار ویروس به شریک زندگی خود می توانید صبر کنید تا قبل از بهبود تاول ها و زخم ها رابطه جنسی برقرار نکنید.
اگرچه استفاده از کاندوم از انتقال این ویروش محافظت می کند، اما ویروس می تواند به هر ناحیه که تحت پوشش کاندوم قرار ندارد انتقال یابد.
در موارد نادر، یک مادر ممکن است در هنگام زایمان ویروس را به کودک خود منتقل کند.
اگر باردار هستید، بهتر است با ماما یا متخصص زنان و زایمان خود صحبت کنید.
آیا می توان از شیوع بیماری جلوگیری کرد؟
خستگی، استرس قبل از قاعدگی، نوشیدن زیاد الکل یا مصرف مواد مخدر می تواند باعث شیوع بیماری شود.
اما می توانید با پزشک متخصص خود در رابطه با عوامل موثر در بروز بیماری تبخال تناسلی مشاوره های لازم را انجام دهید.
- تجوبز دارو برای جلوگیری از وقوع شیوع بیماری
- کاهش استرس
- تغذیه سالم و فعالیت بدنی کافی
- خواب بیشتر
- کنترل مصرف الکل، سیگار و سایر داروها
آیا باید شریک جنسی خود را از وجود بیماری تبخال تناسلی آگاه کرد؟
پاسخ مثبت است. حتی اگر فرد هیچ علامتی نداشته باشد، می تواند ویروس را به راحتی منتقل کند.
یا ممکن است شریک زندگی (همسر) خود را آلوده کرده باشید، یا ممکن است آنها بدون اطلاع شما آلوده کرده باشند.
اگر برای درمیان گذاشتن مشکل خود با همسر و شریک زندگی خود نیاز به کمک دارید، می توانید با پزشک متخصص خود مشاوره های لازم را صورت دهید و از وی راهنمایی های لازم را دریافت کنید.

پس از مشاهده علائم تبخال تناسلی چه باید کرد؟
در صورت بروز علائم، می توانید به یک پزشک متخصص مراجعه کنید.
پزشک پس از معاینه محلی که تبخال ایجاد شده در مورد درمان با شما صحبت می کنند و از یکی از تاول ها یا زخم ها سواب نمونه برداری کرده و آنها را برای آزمایش HSV به آزمایشگاه ارسال می کند.
درمان تبخال دستگاه تناسلی
پس از معاینه و تشخیص دقیق وجود بیمار تبخال تناسلی لازم است که درمان در اسرع وقت آغاز شود. برای درمان در ابتدا ممکن است به بیمار دارو تجویز شود تا علائم بیماری از بین برود.
اما این دارو فقط علائم را درمان می کند و نمی تواند عفونت را درمان کند.
برای پاکیزه نکه داشتن محل آسیب دیده باید حداقل روزی یک بار ناحیه مورد نظر را با آب شسته شود.
برای شستشو بهتر است از صابون استفاده نشود و تاول ها یا زخم ها را مالش داده نشود.
بهتر است پس از استحمام، ناحیه آسیب دیده با دقت و کاملاً خشک شود.
برای کمک به کاهش درد، مصرف آسپرین یا پاراستامول یا پماد های ضد درد در ناحیه مانعی ندارد.
کلام آخر
تبخال دستگاه تناسلی یک عفونت شایع جنسی است.
تبخال دستگاه تناسلی می تواند باعث ایجاد تاول و زخم در ناحیه تناسلی شود.
علائم تبخال دستگاه تناسلی قابل کنترل است، اما عفونت آن قابل درمان نیست.
بیشتر افراد مبتلا به تبخال دستگاه تناسلی علائمی ندارند.
افراد بدون علائم می توانند ویروس را به شریک زندگی خود منتقل کنند.
اگر شما هم فکر می کنید علائم بیماری تبخال دستگاه تناسلی دارید می توانید با مراجعه به یک متخصص زنان، درمان خود را هر چه سربع تر آغاز کنید.
+
+
+
برای نوشتن دیدگاه باید وارد بشوید.